O mieloma múltiplo não é um câncer comum – estima-se que ele afeta sete a cada 100 mil pessoas. Mas isso não é motivo para negligenciar essa doença ou seus sintomas, até porque o diagnóstico precoce aumenta o tempo de vida e evita suas consequências mais graves.
O problema: os sinais que dão pistas de sua presença não raro são confundidos com doenças como a osteoporose ou até como manifestações típicas do envelhecimento. Não à toa, 44% dos 200 pacientes entrevistados para uma pesquisa da Associação Brasileira de Linfoma e Leucemia (Abrale) demoraram mais de três meses para procurar um médico depois de apresentarem os primeiros sintomas – 26% deixaram passar mais de um ano.
Só que essa história não termina aí. No levantamento da Abrale (que envolveu pessoas atendidas nas redes pública e privada), 45% esperaram ao menos seis meses para de fato serem diagnosticados com o mieloma múltiplo. E, após a confirmação do quadro, 82% ainda esperaram mais de um mês para iniciarem o tratamento.
“Ninguém sai de casa dizendo que vai fazer uma consulta preventiva com o hematologista, o médico mais acostumado a diagnosticar e tratar esse câncer”, afirma Breno Gusmão, hematologista da BP – A Beneficência Portuguesa de São Paulo. “Precisamos conscientizar a sociedade e até os outros especialistas que sintomas como dor recorrente nas costas merecem uma investigação aprofundada”, arremata.
O que é o mieloma múltiplo e quais seus sintomas
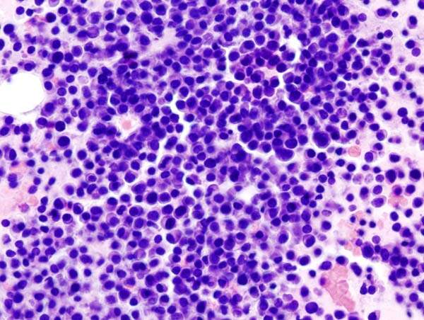
Em resumo, estamos falando de um câncer que surge na medula óssea – a fábrica de sangue que se localiza no interior dos ossos. No caso, a doença acomete especificamente os plasmócitos, células de defesa que participam do combate a infecções.
“Em cerca de 90% dos pacientes diagnosticados, há presença de dor óssea”, alerta Gusmão. Esse incômodo geralmente dá as caras na coluna ou nas costelas, surge do nada e piora com o movimento.
Fora isso, ele tende a se intensificar com o tempo, o que inclusive culmina em abuso de analgésicos.
Com o tempo, a degeneração óssea decorrente do mieloma múltiplo enfraquece o esqueleto, disparando uma espécie de osteoporose. Daí porque não são poucos os pacientes com fraturas.
Vamos, então, listar os sintomas de sua presença: Dor óssea frequente, principalmente nas costas; Fraturas; Anemia; Cansaço; Infecções repetidas; Urina com espuma; Perda de apetite e Sede exagerada
Além da osteoporose, tem gente que confunde esses sinais com a deficiência de ferro ou mesmo como consequências da maturidade, até porque o mieloma múltiplo é mais comum depois dos 60 anos. “Com exames de sangue e de imagem, conseguimos firmar o diagnóstico”, diz Gusmão.
O diagnóstico precoce e o tratamento
Infelizmente, o mieloma múltiplo não tem cura. “Mas, hoje, possuímos um arsenal de remédios que prolonga a expectativa de vida e diminui o risco de complicações”, avisa Gusmão. O Brasil, aliás, foi o primeiro país no mundo a aprovar – no sistema privado – um medicamento inovador contra essa doença, o daratumumabe.
De acordo com o médico, não é raro ver pacientes vivendo mais de uma década depois do diagnóstico, o que é animador, em especial se você considerar que essa enfermidade costuma dar as caras dos 60 anos de vida em diante. “Muitos vão morrer de outras causas”, completa o médico.
Entretanto, para realmente se beneficiar dos remédios e afastar as dores, as fraturas e por aí vai, é essencial detectar esse câncer nos seus primeiros passos. E aí voltamos à importância de ficar atento aos sintomas que mencionamos antes.
“Fazer exames de checkup em toda a população para caçar essa doença não é efetivo, porque ela é pouco comum”, esclarece Gusmão. Sem contar que, na maioria das vezes, uma dor nas costas ou uma anemia indicam outros problemas que não o mieloma múltiplo.
O recado – para essa e outras encrencas – é nunca tratar com normalidade sintomas que aparecem sem motivo aparente e que não cessam poucos dias depois.
