Sexta-feira, 08 de maio de 2026

Porto Alegre

CADASTRE-SE E RECEBA NOSSA NEWSLETTER

Receba gratuitamente as principais notícias do dia no seu E-mail.
cadastre-se aqui

RECEBA NOSSA NEWSLETTER
GRATUITAMENTE

cadastre-se aqui

Saúde Fiocruz descarta casos de “doença da vaca louca” no Rio de Janeiro

Compartilhe esta notícia:

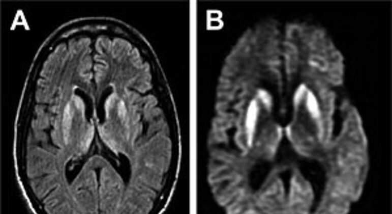
Doença é rara e ataca o sistema nervoso central.

Foto: Reprodução
Doença é rara e ataca o sistema nervoso central. (Foto: Reprodução)

Horas após confirmar que dois pacientes estavam internados no Rio de Janeiro com suspeita de EEB (encefalopatia espongiforme bovina), conhecida popularmente como “doença da vaca louca”, o INI/Fiocruz (Instituto Nacional de Infectologia Evandro Chagas/Fundação Oswaldo Cruz) descartou a hipótese de que os casos tenham relação com o consumo de carne contaminada.

Em nota, o vice-diretor de serviços clínicos da instituição, Estevão Portela Nunes, afirma que, “considerando os aspectos clínicos e radiológicos”, os casos estão sendo tratados como “suspeita da forma esporádica da doença de Creutzfeldt-Jakob”.

“Essa forma esporádica não tem relação com o consumo de carne”, acrescenta.

De acordo com o Manual MSD de Diagnóstico e Tratamento, a DCJ (doença de Creutzfeldt-Jakob) também é uma encefalopatia espongiforme, mas mais comum do que a doença da vaca louca.

A forma esporádica é, segundo o guia, o tipo mais comum, representando 85% de todos os casos. “A DCJ esporádica geralmente afeta pessoas com mais de 40 anos de idade (média etária de cerca de 65 anos).” A doença da vaca louca é classificada como a forma adquirida.

As duas são doenças neurodegenerativas raras e denominadas priônicas, por serem causadas por príons – formas modificadas de uma proteína presente normalmente no organismo.

Os sintomas incluem demência, mioclonia (espasmos e contrações musculares) e outros déficits no sistema nervoso central. A morte geralmente ocorre entre quatro meses e dois anos após a infecção, a depender da modalidade e do subtipo da DCJ. O tratamento é apenas de suporte.

Compartilhe esta notícia:

Voltar Todas de Saúde

Deixe seu comentário

Os comentários estão desativados.

Cartão Cidadão pode ser retirado em municípios da Campanha, Fronteira e Sul do Estado
Porto Alegre tem 51 locais para vacinação contra a Covid nesta sexta-feira
Pode te interessar