Sexta-feira, 29 de maio de 2026

Porto Alegre

CADASTRE-SE E RECEBA NOSSA NEWSLETTER

Receba gratuitamente as principais notícias do dia no seu E-mail.
cadastre-se aqui

RECEBA NOSSA NEWSLETTER
GRATUITAMENTE

cadastre-se aqui

Saúde Alzheimer: pesquisadores identificam 5 subtipos da doença; entenda

Compartilhe esta notícia:

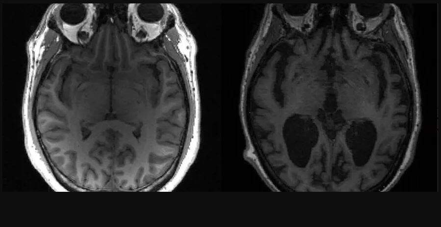
Imagem mostra cérebro saudável à esquerda e cérebro com Alzheimer à direita. (Foto: Reprodução)

Uma equipe internacional de neurocientistas identificou pela primeira vez cinco subtipos distintos da doença de Alzheimer. A descoberta publicada recentemente na revista científica Nature Aging tanto ajuda a explicar por que alguns medicamentos que atingem características da doença, como as placas da proteína beta-amiloide, parecem ser ineficazes contra a doença quanto abre caminho para novos tratamentos.

Pesquisadores do Centro de Alzheimer de Amsterdã, da Universidade de Amsterdã e da Universidade de Maastricht, todas na Holanda, juntamente com especialistas em doenças neurodegenerativas dos EUA, Bélgica, Reino Unido e Suécia, chegaram a esta conclusão depois de examinarem proteínas no líquido cefalorraquidiano, encontradas no cérebro e na coluna vertebral, de 419 pacientes com Alzheimer e 187 participantes controle.

O líquido cefalorraquidiano é um líquido transparente que envolve o cérebro e a medula espinhal e é considerado uma “janela para o cérebro”. Esse líquido também contém proteínas que são produzidas no cérebro e liberadas no fluido. Como tal, três biomarcadores do LCR – Aβ42, tau total (t-tau) e tau fosforilada (p-tau) – são amplamente reconhecidos como o perfil da doença de Alzheimer e são uma importante ferramenta de diagnóstico.

No último estudo, a equipe identificou 1.058 proteínas no fluido que diferiam entre as duas coortes testadas. Descobriu-se então que estas proteínas estavam ligadas a diferentes processos moleculares específicos envolvidos na progressão dessa demência.

Analisando essas proteínas, eles descobriram diferenças importantes, separando o que antes era uma condição única em cinco subtipos distintos, com progressão clínica e expectativa de vida diferentes. Ao identificar tipos específicos da doença, os cientistas esperam poder criar tratamentos direcionados e, portanto, mais eficazes.

“Cada subtipo de doença de Alzheimer no líquido cefalorraquidiano reflete mecanismos moleculares subjacentes específicos. Os subtipos também diferiam nos padrões de atrofia cortical e nos tempos de sobrevivência, sublinhando a sua relevância clínica”, escreveram os pesquisadores.

A doença de Alzheimer, uma das principais causas de demência, é uma doença progressiva do cérebro que lentamente rouba a memória dos pacientes. Há décadas a ciência busca tratamentos eficazes para curar ou retardar a progressão, sem sucesso, na maioria dos casos.

Os 5 subtipos da doença de Alzheimer:

– Subtipo 1: foi associado à hiperplasticidade neuronal ou ao crescimento elevado das células cerebrais e aos níveis de proteína tau. A taxa média de sobrevivência foi de 8,9 anos e a abordagem médica mais eficaz foi o tratamento com anticorpos.

– Subtipo 2: foi associado à ativação imunológica inata, ou sistema imunológico hiperativo, marcado por grave atrofia cerebral e níveis elevados de tau. Teve uma taxa média de sobrevivência de 6,7 anos, sendo a melhor abordagem de tratamento, os imunossupressores.

– Subtipo 3: foi associado à desregulação do RNA e apresentou o declínio mais rápido, com uma taxa de sobrevivência média de apenas 5,6 anos. A terapêutica restauradora de RNA parece ser o caminho de tratamento mais eficaz.

– Subtipo 4: foi associado à disfunção no plexo coroide, onde o líquido cefalorraquidiano é produzido, e resultou em crescimento moderado de células cerebrais e problemas nos vasos sanguíneos. Embora os níveis da proteína tau parecessem normais, este subtipo apresentou a atrofia cerebral mais extrema. A taxa de sobrevivência foi de 7,4 anos, e o tratamento mais eficaz seria a inibição terapêutica da infiltração de monócitos.

– Subtipo 5: foi associado à disfunção da barreira hematoencefálica. Os cientistas descobriram que as pessoas com este tipo da doença de Alzheimer tinham mecanismos de barreira hematoencefálica prejudicados, tornando-as propensas a micro-hemorragia e inflamação. O tempo médio de sobrevivência foi de 7,3 anos e seria melhor atendido com tratamentos cerebrovasculares.

Quanto à divisão dos subtipos entre a coorte testada, 35,5% tinham subtipo 2, 27,9% subtipo 1, 17,1% subtipo 4, 16,6% subtipo 5 e 5,8% subtipo 3. As informações são do jornal O Globo.

Compartilhe esta notícia:

Voltar Todas de Saúde

Deixe seu comentário

Os comentários estão desativados.

Botox funciona? Estudo compara fotos de gêmeas, uma aplicou toxina por 19 anos, outra não
Da academia à corrida: especialistas recomendam o que comer antes e depois dos treinos
Pode te interessar