Domingo, 10 de maio de 2026

Porto Alegre
Porto Alegre, BR
11°
Mostly Cloudy

CADASTRE-SE E RECEBA NOSSA NEWSLETTER

Receba gratuitamente as principais notícias do dia no seu E-mail.
cadastre-se aqui

RECEBA NOSSA NEWSLETTER
GRATUITAMENTE

cadastre-se aqui

| Cientistas descobrem que o Alzheimer pode ser transmitido de um ser humano a outro

Compartilhe esta notícia:

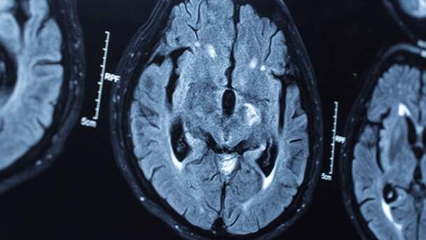
Tipo de lesão cerebral chamada "angiopatia amiloide cerebral", que geralmente sinaliza a doença de Alzheimer, foi encontrada de maneira surpreendente na necrópsia de pessoas mortas pela doença de Creutzfeldt-Jakob. (Foto: Reprodução)

Uma descoberta feita em pessoas mortas pela DCJ (doença de Creutzfeldt-Jakob) lançou a hipótese de que pode haver uma forma de transmissão do mal de Alzheimer. É o que mostra uma pesquisa divulgada pela revista Nature.

Um tipo de lesão cerebral chamada “angiopatia amiloide cerebral” (depósito de proteínas amiloides nos vasos), que geralmente sinaliza a doença de Alzheimer, foi encontrado de maneira surpreendente na necrópsia de pessoas mortas relativamente jovens (entre 36 e 51 anos) pela DCJ.

As vítimas da DCJ não chegaram a apresentar em vida qualquer sintoma do mal de Alzheimer e também não mostravam na necrópsia outro grande sinal do Alzheimer: o acúmulo da proteína Tau. As oito pessoas estudadas foram contaminadas por príons anormais – agente patogênico da doença de Creutzfeldt-Jakob – durante tratamentos com injeções de hormônio de crescimento. Até a década de 1980, o hormônio utilizado nesse tipo de terapia era retirado da glândula hipófise do cérebro de cadáveres. No caso desses oito pacientes, os hormônios que receberam estariam contaminados com agentes associados às doenças.

O estudo, conduzido por um grupo de pesquisadores britânicos, “sugere que o peptídeo beta-amiloide [que se acumula no cérebro das pessoas afetadas por Alzheimer] pode ser potencialmente transmitido por meio de certos procedimentos médicos”, informou a revista em comunicado.

As misturas do hormônio de crescimento injetadas nestas pessoas quando elas ainda eram crianças eram não somente “contaminadas por príons, mas também por ‘grãos’ de peptídeos beta-amiloides”, explicou um dos autores da pesquisa durante uma apresentação à imprensa.

Não há prova de transmissão direta.

Mas não há provas da possibilidade de transmissão direta de contágio de pessoa para pessoa tanto para a doença de Creutzfeldt-Jakob quanto para o Alzheimer e não há “razões para se preocupar”, afirmou. Esta observação vem confirmar um mecanismo de propagação para as “sementes” do peptídeo beta-amiloide já descrito em experiências com animais, explicou o especialista francês em Alzheimer Philippe Amouyel, do Institut Pasteur Lille/Inserm.

“Esta observação de transmissão ocorreu num contexto totalmente incomum pela injeção de substância extraída de cérebros humanos, o que hoje em dia não se faz mais. Nenhum elemento permite concluir que esta situação possa ocorrer em circunstâncias da vida cotidiana”, ressaltou. (AG)

Compartilhe esta notícia:

Voltar Todas de |

Deixe seu comentário

Os comentários estão desativados.

Câmara dos Deputados derruba restrição a pesquisas eleitorais aprovada no Senado
Aplicativo de pornografia é acusado de fotografar usuários secretamente para chantagem
Pode te interessar