Quinta-feira, 06 de novembro de 2025
Por Redação O Sul | 8 de janeiro de 2017
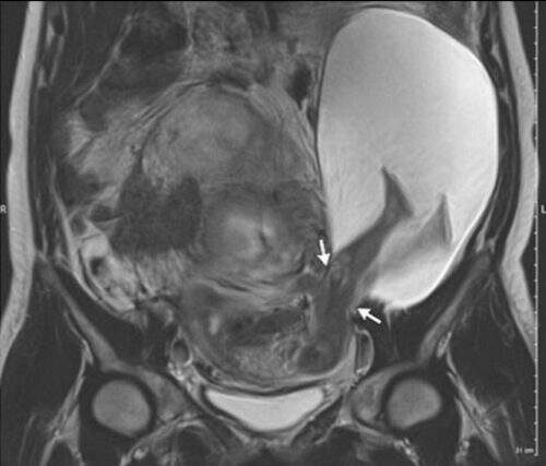
Uma mulher, não identificada, gerou um bebê em uma situação rara: as pernas dele estavam fora do útero. A medicina só registra 26 casos do tipo.
Uma imagem do ultrassom, feita por Pierre-Emanuel Bouet, ginecologista do Hospital da Universidade de Angers (França), mostrou a ocorrência inusitada.

Imagem do ultrassom mostrou a cena rara. (Foto: Reprodução)
A explicação: a gestante de 33 anos apresentou, na 22ª de gravidez, um corte de 2,5 centímetros no útero. Parte do saco amniótico passou pelo rasgo e formou uma “hérnia”, de acordo com o relato do caso feito na revista “The New England Journal of Medicine”.
Na 30º de gestação, por causa do risco para o feto, os médicos decidiram realizar o parto por cesariana. O bebê nasceu saudável e já está com 6 meses.
Depois do parto, o útero da paciente foi suturado.